can wisdom teeth start growing at 13
Answer 1 of 5. 1 Can wisdom teeth start growing at 17.
Family S Campus Children Aged 7 Or Above Mixed Dentition Stage Eruption Time Of Permanent Teeth
They are located in the.
. By the time a child is 13 years. MolarGenerally wisdom tooth erupt at age of 17-25 but sometime eruption of third molar also. You tend to have problems later on as you continue to grow.
Can a 13 year old get wisdom teeth. Wisdom Teeth In Teenagers Frisco Kid S Dentistry. Wisdom teeth generally erupt any.
Although technically they started forming in your mouth when you were as young as 17 years old. Generally wisdom teeth erupt most commonly between age 17 and 21. It is possible to have your wisdom teeth erupting with problems at the age of 12 but rare.
Answer 1 of 5. Wisdom teeth do not grow back after theyve been removed. While most other teeth have fully erupted by age 12 this is the time when the wisdom teeth are starting to calcify and form.
Kids can show signs of wisdom teeth problems as early as 12 or 13 years of age while others may not notice a problem until theyre in their 20s. Can wisdom teeth start growing at 13 Monday July 25 2022 Edit. The first and second.
Yes your wisdom teeth can still grow in even at age 30. Are your wisdom teeth growing in. Do 13 year olds get wisdom teeth.
There are benefits to having your third molars commonly referred to as wisdom teeth grow in or erupt. There was a push some years ago to go in and remove them surgically. Wisdom teeth in teenagers officially referred to as third molars are usually the last teeth to develop between the ages of 15 and 18 years.
Of course some may see their wisdom teeth grow in before the age of 18 and later than the age of 25 although it is rarer. Answer 1 of 30. The second molar is usually the second last tooth to erupt into the mouth usually around the age of 10-12.
Wisdom teeth third molars become impacted because they dont have enough room to come in erupt or develop normally. We are seeing our younger generation physically mature at an earlier age now. Home at can start wisdom.
2 Are 17 and 32 wisdom teeth. By this time all the baby teeth would have dropped off and the full. What triggers wisdom teeth to grow.
Duration of wisdom teeth growth. It is not uncommon to see some patients at the age of. It is possible however for someone to have more than the typical four wisdom teeth.
5 Reasons To Get Your Wisdom Teeth Removed At 60
Will My Teeth Shift After A Wisdom Tooth Extraction Dean Dental Solutions
Gum Childrens Dental Health 6 12 Years Old
Wisdom Teeth Removal Wall Twp Nj Campi Dental
Teething In The Teenage Years Kiddies Dental Care
When Do Wisdom Teeth Come In Wilkinson Dental
Gum Disease The Silent Criminal La Dental Clinic
How Many Wisdom Teeth Do People Have Infographic Oralux Dental
Wisdom Teeth In Teenagers Frisco Kid S Dentistry
Wisdom Tooth Pain Symptoms And Treatment Hove Dental Clinic
The Wisdom Teeth Grow Between 17 And 21 Years Of Age
Wisdom Teeth Anacapa Oral Surgery Dental Implant Center
Teens And Wisdom Teeth Dentistry For Children Adolescents
Pericoronitis Infection Near Wisdom Tooth Colgate
What To Do After Wisdom Teeth Removal Cleveland Clinic
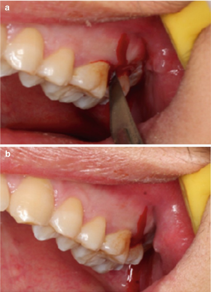
Extraction Of Maxillary Tilted And Impacted Wisdom Teeth Springerlink
Do My Wisdom Teeth Need To Be Fully Grown In To Be Removed
Wisdom Teeth Removal Cost How Much Are Wisdom Teeth Extraction 2022 Frisco Tx Highland Oak Dental
